関節軟骨損傷-肩関節MRI-
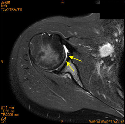
10代女性、ソフトボール歴11年、投球時痛、 関節窩前下方の軟骨欠損を認めている。
腱板損傷、関節唇損傷が疑われていたがintactであった。
先入観にとらわれない読影が重要である。
![]() Axial T2WI 脂肪抑制 |
![]() Obl. Cor T2WI 脂肪抑制 |
10代女性、ソフトボール歴11年、投球時痛、 関節窩前下方の軟骨欠損を認めている。
腱板損傷、関節唇損傷が疑われていたがintactであった。
先入観にとらわれない読影が重要である。
![]() Axial T2WI 脂肪抑制 |
![]() Obl. Cor T2WI 脂肪抑制 |