症例05 -肩関節MRI予想外所見partⅡ-
10代 男性
野球肩、中学時 野球で疼痛
以後、外転外旋で痛み、外旋制限
SLAP lesion、Bone necrosis?
問診票より
思いあたる原因:投球
腕を上げようとすると痛む。
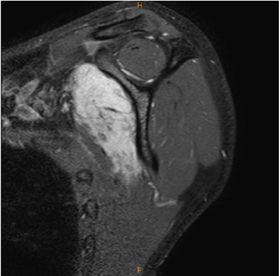
MRI所見
肩関節でどうような病変があるか予想しづらいのは、病変が深く、触診が難しいことも理由であると考えられる。
たまたま経静脈性造影が施行されている。
診断
肩甲下筋腫瘍(デスモイド), 棘上・下筋腱関節側部分断裂
![]() |
![]() |
![]() |
![]() |




