症例10 -肩関節MRI予想外所見partⅡ-
60代 男性
一年以上前に転倒受傷
以来痛みがとれない。
可動域制限(-)
関節周囲炎の鑑別
問診票より
ゴルフで転倒
ボールを投げる時に痛む。
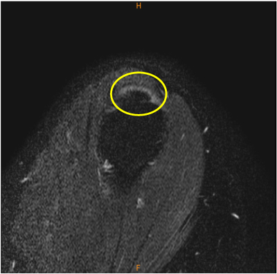
MRI所見
陳旧性石灰沈着性腱板炎のために肩峰下の擦れを生じていると考えられる症例。
石灰沈着は脂肪抑制T2, T2*
画像で気がつきやすい。
診断
陳旧性石灰沈着性腱板炎、擦れ、断裂(-)
![]() |
![]() |
![]() |
![]() |




